Clinique dentaire les abus en implantologie en Espagne
*Publier le 23/5/2016
Implant dentaires en Espagne avis ! danger à STIGES, BARCELONE … dentistes à FUIR…
*Évitez de vous faire soigner les dents (implants dentaires) dans plusieurs cliniques dentaires, tenu par plusieurs dentistes ………., de Stige Espagne au sud de Barcelone! un conseil si vous voulez pas vous retrouver avec un handicape sérieux de santé, évité ces « endroits maudits au nord et sud de Barcelone de « Plaça del Pou Vedre » Stiges. Clinica Dental…..
Évaluations des cliniques dentaires à l’étranger pour les patients Espagne Hongrie ?
Plusieurs avis de cliniques dentaires sont faussées sur le net contre des commissions des cliniques au prestataire du site ….. Alors méfiance ? quelques fois ce sont les pires cliniques dentaires avec des avis complétement tronqués.
Montrez les dents contre les abus « arnaque dentaires « de plus en plus fréquent, par les dentistes en Europe pour vos soins avec certains dentiste Français installer à l’étranger ? Voir Hongrie, Espagne
En matière d’implantologie et depuis quelques temps, on est en train voir un bon nombre de dérives avérées donc certaines de la part de certains dentistes plutôt véreux, crapuleux, ou maladroits qui polluent la profession et tout cela au nom de l’argent et au prix de la santé des patients. Les arnaques sur les soins dentaires sont fréquentes.
Ces récits, nous les tenons avec cinq exemples tirés de lettres reçues récemment illustreront parfaitement les problèmes soulevés par des personnes mécontentes des suites de leur intervention dentaire dans plusieurs cliniques.
En matière d’implantologie et depuis quelques temps, on est en train voir un bon nombre de dérives avérées donc certaines de la part de certains dentistes plutôt véreux, crapuleux, ou maladroits qui polluent la profession et tout cela au nom de l’argent et au prix de la santé des patients. Les arnaques sur les soins dentaires sont fréquentes, tout cela ne peux pas ce faire, sans la complicité d’intermédiaire.
*Voila mon histoire personnel en. 2010 avec des « implants dentaires trinon monobloc » de marque Allemande posée par le Dr ….Recommande par le site: Endurance implant
Six mois après toujours aucune amélioration, j’avais un point important de nécrose tissulaire sur l’impact de l’aiguille coté langue, ou il m’avait fait l’anesthésie, une nécrose de la gencive était la depuis le début, j’ai fait part de tout cela par mail, ne vous inquiétez pas cela est normal, J’ai fini par me rendre chez mon dentiste dans le Var, qui m’a envoyé d’ urgence chez un Stomatologue d’Aix en Provence pour avoir un avis plus éclairé, d’après lui j’avais des infections importante sur les implants, je me suis rendu chez ce spécialiste elle m’a fait une radio, le verdict et tombé, vos implants ne sont pas enfouis dans l’os, les spires sont dehors, vous faites une Péri-implantite, en plus il sont en bascules une aberration de plus ? Elle m’a donné de L’Augmentin pendant 10 jours en me disant de faire enlever l’implant en cause, pour éviter une infection plus importante de la mâchoire, il faut retourner à l’étranger de toute urgence, pour éviter une perte complète de l’os. J’ai envoyé par mail la radio de la stomatologue au dentiste qui ne voyait rien d’anormal !!! Vous imaginez un peu la compétence du dentiste ?
Je suis descendu en Espagne à Cunit il a fini par enlever l’implant en cause, j’ai commencé à m’interroger sur les compétences de ce dentiste et les méthodes de travail du dentiste en question. Je suis rentré en France. Deux mois plus tard rebelote avec l’autre implant, infection de nouveau sous antibiotique, une enflure importante, je leur ai signalé par mail. J’ai fini par me renseigner en Espagne dans une autre clinique pas très loin, elle située à Barcelone j’ai parlé longuement avec le dentiste Français, qui m’a dit vous avez eu à faire à un personne incompétente et plus, dans ces termes exacts, et bien d’autres révélations importante, m’ont fait prendre conscience d’avoir eu tort de faire confiance.
Quelques temps après j’ai reçu par courrier depuis l’Espagne une enveloppe remplie de photos de patients en très mauvais état ? que le docteur x ……… aurait opéré en Espagne ? j’ai retrouvé ces personnes et leurs histoires en détail, le nom était dissimulé avec un marqueur noir par l’expéditeur pas très malin? Par enchantement le nom est apparu en contre jour il ne me resta plus qu’à appeler les patientes. pour connaitre leurs expériences avec les docteur Français qui sont passés par ces mains en 2009 Je me suis dit tu as encore de la chance !
*J’ai finit par consulter un chirurgien-dentiste « EXPERT EN IMPLANTOLOGIE DEVANT LE TRIBUNAL DE Barcelone ……….. très sérieux à Barcelone par chance, qui m’a informe de l’état exact de ma bouche, on s’en doute catastrophique. Il à bien voulue m’extraire l’implant Allemand trinon pour m’éviter le pire en 2012.
Actuellement j’ai toujours des problèmes non résolus de santé suite à la pose raté des implants par manque de compétence et de sérieux de la part de ce dentiste. J’ai pris contact avec un certain nombre de patients qui sont passés par cette clinique dentaire et peuvent témoigner, je les remercie de leur confiance, ainsi qu’aux anciens associés qui se sont démarqués de ce dentiste
_______________
Droit des patients: en cas de contestation avec un chirurgien-dentiste, quels sont les recours? Et quels sont les droits des patients?
Que faire en cas de pépin avec vos dents? Je conseille de tenter une conciliation à l’amiable avec le chirurgien dentiste . Pour espérer une réparation de ce qui à été mal fait ou pas fait. Ensuite, si le dentiste refuse ou demande de l’argent supplémentaire il faut tenter sa chance devant le tribunal en France ou dans le pays ou vous avez reçue les soins.
Implants dentaires danger
Nul doute que ce genre de pratique de la part des cabinets dentaires en France ou l’étranger leur sera fatale en terme de publicité sur le net.
Chirurgien-dentiste Parés de titres et de diplômes souvent bidon! comme dans l’affaire à Marseille> http://www.lepoint.fr/societe/deux-dentistes-vereux-interpelles-a-marseille-29-11-2012-1535479_23.php
Il est plus que temps que la profession réagisse face à ces « filous de la l’implantologie dentaire » on trouve ce genre de clinique dentaire dans plusieurs pays, mise en garde et prudence sont de règle, durant votre voyage dentaire « tourisme dentaire »voir le forum aufeminin Le chirurgien dentiste n’est pas un médecin: il a le droit à côté de simples soins dentaires, de pratiquer des opérations chirurgicales en relation avec ce système dentaire et de fabriquer des prothèses. Un code de déontologie fixe les règles de sa profession et un ordre professionnel peux retenir à son encontre une responsabilité disciplinaire. De plus en plus de dentiste sont sanctionnés par le conseil de l’ordre des dentistes pour des abus et sont interdit de pratiquer en France prudence.
Bien souvent les opérés malheureux pensent que leur chirurgien dentiste va faire intervenir son assurance médicale. D’autant que, parmi les membres du corps médical, c’est le chirurgien dentiste qui règle les primes les plus élevées. Mais c’est bien mal connaître le caractère peu philanthropique des assurances qui ne régleront les préjudices subis que dans les cas de fautes techniques évidentes et impossible à contester. Sinon elles préféreront laisser attaquer le chirurgien dentiste car elles savent parfaitement que le procès sera long et son issue aléatoire, (mais la les choses sont en train de changer en 2012…)
Les obligations du chirurgien dentiste.
L’examen de plusieurs affaires va nous permettre de réaliser comment le tribunal établit ou non la culpabilité du chirurgien. Compétence du dentiste: le 3 avril 2009 le tribunal Correctionnel de Paris applique l’art. 320 du code pénal : « si le diplôme de docteur en médecine dentaire permet l’exercice de toutes les branches de l’implantologie, l’obtention du titre ne dispense pas celui qui veux exercer une médecine difficile, hautement spécialisée, de s’y préparer par une formation adéquate…et le prévenu n’aurait pas eu recours à des techniques dont il n’aurait pas ignoré les dangers s’il avait sérieusement travaillé avec des spécialistes qualifiés et s’il, avait étudié… » Information exacte et entière du patient de tous les risques prévisibles. Obligation » d’autant plus impérieuse qu’il s’agissait de remédier à une légère imperfection dentaire
Des complications peuvent toujours survenir indépendamment de la compétence des médecins ou par la suite de leurs fautes techniques.
Le médecin stomatologiste, lui est un médecin à part entière et est soumis à toutes les règles de la responsabilité médicale classique. Mais voila l’art dentaire tend à un résultat précis à l’aide d’instruments et nécessite des implants dentaires. Qu’il s’agisse d’arracher une dent ou d’obturer une carie, si le patient a encore mal après les soins, il peut rapidement contester. Une infection qui continue après la pose d’implant péri-implantite.
dentaire sont des preuves évidentes et la responsabilité du dentiste pourra être plus souvent mise en question. Mais à quelle obligation le chirurgien dentiste est-il tenu? A une obligation de moyen ou à une obligation de résultat? On m’arrache des dents, il faut me les remplacer, on me pose une prothèse ou un implant, je ne le supporte pas. Me suffit-il de déclarer : je ne suis pas satisfait de mon implant dentaire! ou de ma prothèse et monter qu’elle est trop grande ou trop petite… pour avoir gain de cause au cours d’un procès? Ou faut-il que je prouve une faute du chirurgien dentiste qui inventera mille et une raison de se disculper. Les obligations du chirurgien-dentiste la jurisprudence, depuis un arrêt de la cour de Dijon, le 24 janvier 1990, repris par de nombreux arrêts, dont celui de la cour de cassation, (première chambre correctionnelle le 15novembre 1991) avait tranché la question sans ambiguïté :
« Lorsque le chirurgien dentiste agit comme un médecin en donnant des soins et un traitement, il est tenu à obligation de moyen car l’échec ou la réussite peuvent être liés aux conditions physiologiques du patient. Mais par contre, lorsque le praticien agit en technicien (Mandalie dira même « fait œuvre de mécanicien ») il sera lié par une obligation de résultat. En d’autres termes: la prothèse, une fois posée doit donner entière satisfaction au patient. On ne revenait d’ailleurs à une obligation de moyens dés que le chirurgien dentiste avait averti son client d’une façon explicite des particularités physiques qui pouvaient entraver son travail et des aléas possibles au niveau de la prothèse ou implant. C’est dire que le champ de cette obligation est très restreint, mais du moins il est parfaitement sûr et défini. Et à la lueur des deux arrêts que je vais citer, l’on voit qu’il permettait quand même de tenir ferme contre des mauvais dentistes en cas de prothèses importables ».
Implant dentaire ne vous trompez pas de cliniques en Espagne!
Première désillusions ? L’implant est parfois rejeté par l’organisme, mais il y a aussi les risques propres de l’opération: perforation des sinus, hémorragies… Pensez que pour poser » les implants » il faut ouvrir la gencive à deux reprises. La grande difficulté, c’est de réaliser une opération chirurgicale dans une poubelle. La bouche est un milieu très dense en microbes,or un implant fait communiquer l’os avec les streptocoques ou autres bestioles de la bouche. Des réactions inflammatoires sont lot commun au niveau de la gencive, mais elles atteignent parfois l’os (périostites) entraînant sa destruction. Dans ce cas, il faut retirer l’implant le plus rapidement possible afin d’éviter les fistules (les tissus se creusent de l’intérieur jusqu’à l’épiderme et laisse de très vilaines cicatrices) Des dégâts énormes empêchent même, quelquefois, la pose ultérieure d’un dentier classique. Les implants qui tiennent toujours au bout de cinq ans, sans zone inflammatoire, représentent à peux prés 30% des cas opérés (2) On peut considérer que ces braves gens ont un terrain particulièrement combatif puisqu’ils ont pu reconstituer des tissus qui mettent l’os totalement à l’abri.
Un implant peut aussi réserver des surprises: réussir dans un premier temps, puis s’acheminer vers un échec. Impossible à prévoir. Aucun résultat ne peut être garanti, même sur des gens « jeunes et sains »! Pas de formation particulière dans les écoles dentaires… On ne sait même pas combien de chirurgiens pratiquent ces méthodes d’implant. Aucun garde-fou. C’est vrai, qu’il y a un marché juteux: 10000euros à 20000euros pour un demi-maxillaire garni de fausses dents… Handicapant, dégradant, inhibant le dentier? Certes, mais tellement moins risqué.
Je ne vous ai pas parlé de tout ce qui ce fait en dentisterie, seulement du plus courant, Mais, nous aurons l’occasion de revenir sur ce sujet important… Si mes propos à l’égard des dentistes ne sont pas très optimistes, ne vous y trompez pas, il faut aller les voir, Je dirai même, que le peu de scrupules dont ils font preuve, est une raison supplémentaire pour les consulter tôt, très tôt, le plus tôt possible. C’est à ce stade que les soins sont les moins iatrogènes. Pensez aussi, qu’ils sont moins douloureux et moins coûteux. Ne baissez pas les bras, il existe tout de même de bons dentistes, qui feront tout leur possible pour vous soigner et vous restituer une denture en parfait état de mordre…
Seulement, il faut les chercher. Posez-leur des questions, demandez des devis (ils sont obligatoires), comparez les prix et l’empressement que met le dentiste à vous expliquer des soins. Retournez le voir si la prothèse vous gêne ou vous fait mal : soyez exigeants! Et ne croyez pas les gens qui disent : « quand je n’aurai plus de dents, je serai enfin tranquille ».Le dentier est la pire des solutions.
La jurisprudence dentaire
Arrêt de la cour de Dijon: « il se forme entre le praticien et le client, pour la fourniture des appareils dentaires, un contrat non seulement des soins, mais de résultat, imposant au premier, d’abord l’obligation d’une thérapeutique consciencieuse, attentive et conforme aux données actuelles de la science, destinées à assurer la mise en place et la conservation de la prothèse, ensuite l’obligation de fournir cette dernière sous une forme, dans un état et avec des modalités telles qu’elle puisse normalement remplacer la denture… de la dernière de ces obligations résulte, pour le praticien, la nécessité immédiate et absolue, d’une part de vérifier minutieusement les conditions et l’exactitude de la prise d’empreinte préalable à la confection des appareils de prothèse, d’autre part de contrôle et d’ajuster ceux-ci aussi longtemps qu’ils n’assurent pas normalement et dans la mesure de leur réelle efficacité, leur destination ».
Arrêt de la cour: A justifié sa décision la cour d’appel qui, pour retenir la responsabilité d’un chirurgien dentiste, a relevé que celui-ci avait mis en place un bridge de grande envergure qui n’avais fait l’objet que d’un scellement provisoire, lequel avait été maintenu trop longtemps et que le risque de cassure en résultant était aggravé du fait de l’absence de deux molaires au maxillaire inférieur, ce qui entraînait une mauvaise répartition des forces supportées par la partie droite du bridge. Elle a pu en déduire l’existence d’une conception et d’une exécution défectueuses et, sans mettre à la charge du praticien une obligation de résultat, a ainsi caractérisé un manquement à son obligation de donner des soins consciencieux, attentifs et conformes aux données acquises de son art ».
Un doute est introduit : assiste-t-on à un revirement de jurisprudence? qu’aurais dit la cour de cassation si la cour d’appel s’était bornée à noter que l’implant ne donnait pas satisfaction et que le praticien n’avais donc pas respecté son obligation de résultat? On ne peut le savoir mais déjà certains assureurs, les avocats défendant les chirurgiens dentistes et parfois même les avocats des patients pour grossir leurs honoraires. n’hésitent pas à enterrer cette obligation de résultat.
Inutile de dire que de nombreuses critiques, tant de la part des médecins que des juristes traditionnels, s’élèvent dès l’apparition de cette jurisprudence qui, pour une fois, permettait au patient d’échapper à la quasi-impossibilité de prouver une faute médical: « si l’on applique à la prothèse dentaire l’obligation de résultat, pourquoi pas à toute prothèse? et où s’arrête la prothèse, où commence la chirurgie? La frontière est-elle bien nette entre elles? Que décider en présence de techniques nouvelles, telle par exemple, dans le domaine stomatologique, que l’implantation dentaire?…. Aussi ne faut-il pas s’étonner que deux arrêts récents de la cour de cassation (le 24 janvier 1990 et novembre 1991) même s’ils donnent tort au praticiens (et l’on ne voit pas comment il pourrait en être autrement vu la gravité des erreurs) relèvent bien haut la notion de faute.
« POURQUOI ET COMMENT POURSUIVRE UN DENTISTE »
Des dentistes malhonnêtes, il y en a , Dieu merci, relativement peu. Mais il y en a. C’est en principe l’Ordre des Dentistes qui est chargé de mettre hors d’état de nuire. Mais il faut bien reconnaître qu’il n’y apporte pas toujours une ardeur débordante-ce qui est vraiment le moins qu’on puisse dire, et nous croyons en avoir donné ici plus d’un exemple. Alors, comment se défendre quand on est victime d’un de ces praticiens à la moralité douteuse?
Question: comment peut-on obtenir, sans procès long ,coûteux et dont l’issue est toujours incertaine:
-
soit de ne pas régler le dentiste puisque la prothèse ou l’implant, est inadaptée:
-
soit obtenir de son praticien une prothèse sans débourser plus que ce qui a été convenu:
-
soit récupérer l’argent versé et s’adresser à un autre chirurgien dentiste. Qui faire intervenir? L’assureur du praticien, quand par exemple l’appareil se casse parce qu’il est mal posé? Une lettre avec A.R. suffit si le praticien la transmet à son assurance. J’ai téléphoné au « sou Médical »*.qui n’a pas l’air de penser que les sinistres des prothèses dentaires vont le ruiner.
-
L’ordre? Après tout il devrait régler les problèmes et mettre en rapport patient et praticien. Las! si j’en juge par les difficultés que j’ai eues à obtenir un rendez-vous ils ne sont pas sortis de l’auberge,les plaignants! Néanmoins,je conseille toujours aux plaignants d’écrire au conseil de l’Ordre des chirurgiens dentistes avec double au Garde des Sceaux et au ministre de la Santé. Pourquoi? Devant la multiplication des abus il se trouvera peut-être quelqu’un pour réagir.
-
Et pour répondre au dernier éditorial de la revue Dentaire »Usagers de la médecine dentaire êtes-vous la?**,Effectivement la fédération des Groupes locaux d’usagers »Que choisir » se doit de faire cesser un certain nombre de scandales. Mais pour être reconnus et représentatifs il faut que les groupes-santé se multiplient, qu’ils réfléchissent à leur statut de cotisant social qui devrait leur donner le droit d’intervenir dans les instances qui les concernent.
-
Car je crois de moins en moins à la justice dans le domaine médical, qu’elle soit d’ordre disciplinaire ou de droit commun mais je crois par contre de plus en plus à la possibilité d’agir en changeant les mentalités. Bien sûr il y aura toujours des exagérations de part et d’autre mais qu’on les maintienne dans des limites acceptables, et que l’on fasse cesser le privilège exorbitant des chirurgiens dentistes qui s’engraissent sur le dos de personnes souvent âgées et désargentées en leur fournissant des appareils ou implants inadaptés en toute impunité!
- 97% des dentistes exercent leur profession en cabinet privé. C’est dire combien les alternatives sont peu nombreuses. Cependant. Elles existent et peuvent permettre aux moins fortunés d’avoir accès aux soins dentaires.
- Un nombres impressionnent de patients français massacré en Espagne avec des implants dentaires par des dentistes français voir listes:
- Un conseil évité le site www.kelclinic.com un site qui donne des avis tronqués sur les cliniques dentaires alors méfiance ?
- lettre du 25 Mai 2013Quoi faire? le faire enlever je ne sais pas pour l’instant, je vais demander au dentiste que je connais qui m’a enlevé l’implant en janvier 2013 en Espagne son avis si je n’est pas de réponse de clinique je doit dire que la confiance et rompue.
__________
- Cas de patients français massacré en Espagne par 2 dentistes Français
-
N°2 autre cas autre clinique : très grave d’une patiente opéré le 25/08/2008 à l’adresse suivante: Clinique du docteur C N°9 Ribes Plaça Catalunya 08810 Sant Pere de Ribes Espagne Par le Dentiste de l’époque qui travaillait avec cette clinique de Sant Pere de Ribes en 2008 Dr Con …… et …..(implantologue de l’époque!..) Pour la patiente un vrai désastre avec les 9 implants et 23couronnes dentaires Monobloc Trinon Biomédical posés par le dentiste.
-
Contre-indications: le volume osseux de la patiente disponible « absent » (qu’on peut parfois compenser notamment à l’aide de greffes osseuses n’a pas été proposé par le Dr ……….. en 2008)
Implants en Espagne: St Pere de Ribes, Sitgès,… plan à haut risque.
Lettre pour votre forum dentaire M Nadine ……… :
Implants en Catalogne: plan à haut risque! Je suis allée en août 2008 pour m’y faire poser 9 implants « monobloc bio trinon » et 23 couronnes: coût global 19000 euros.
Cela faisait suite aux infos du site Endurance implant à FUIR : interviews de dentistes -vidéo Espagne-Barcelone – clinique dentaire en Espagne . implantologie dentaire -implants monoblocs. (l’intermédiaire travaillait avec les deux dentistes de la dite clinique de l’époque *)Cette opération fut pratiquée par le Docteur ………. sous l’égide du docteur C ……. un français Après l’opération j’ai continuellement ressenti des douleurs aux gencives et des gênes persistantes dans mon élocution.
Cela s’est aggravé rapidement avec des infections et écoulements de pus. Après examen et radiographie panoramique, il est apparu que la majorité de mes implants étaient « expulsés » par mon os maxillaire, que certains implants avaient provoqué des abcès et que l’on observait une « cratérisation » généralisée de ces implants avec apparition de spires.
- Il s’est avéré urgent

- de déposer ces implants, de procéder à un comblement osseux, à la pose de neuf implants six mois plus tard et encore trois mois après, à la pose d’un nouveau bridge céramique. Ces multiples opérations ont été réalisées par un chirurgien-dentiste de Paris, suite à l’abandon de leurs responsabilités des »docteurs »précités.Les chirurgiens qui m’ont examinée mettent en cause le type d’implants posé, qui de par son architecture à larges spires induit une cratérisation systématique à court ou moyen terme.
Au préjudice financier énorme, s’ajoutent des souffrances physiques et morales extrêmes et continuelles avec une angoisse permanente pour l’avenir dû aux séquelles faisant suite à ce ratage dentaire.
- masse osseuse n’est pas suffisante pour maintenir les implants dentaires…! l’avenir du aux séquelles faisant suite à ce ratage-sabotage de la première opération. Cette opération fut pratiquée par le docteur ….. sous l’égide du docteur Con…… Leurs responsabilité civile professionnelles et d’assurance ne couvre pas ce genre de pratique ?

- Ces docteurs associés mutilent les patients avec un travail indigne pour des dentistes tous les deux n’ont ni code de déontologie, ni considération pour leurs patients victimes.
-
2eme cas d’une madame Lea…. qui à perdu les 18 implants pour une somme de 40000€ avec le même dentiste de l’époque le Dr …. ?. Dans cette même clinique dentaire N°9 Ribes Plaça Catalunya 08810 Sant Pere de Ribes Espagne. les implants dentaires sont de marque Monobloc biomédical Trinon elle à dù refaire tout le travail chez sont implantologue de Paris + greffe osseuse. Les 4 cas sont similaires avec le même type implants dentaires trinon ? A la sortie cela lui à coûté 80000€ plus les souffrances endurées là aussi elle n’avait pas assez de masse osseuse? quelle désolation de voir toutes ces personnes avoir des problèmes graves dû au manque de sérieux de la part du dentiste en question. Aucun remboursement ne lui à été proposé?
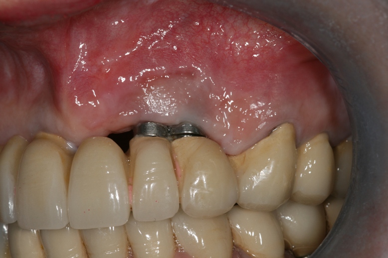
- 5eme cas Madame sylvie Sal qui à reçue une prothèse complète en 2009 chez ………..(oui, c’est bien l’intermédiaire qui m’a indiquer cette clinique, année 2009 en été)En février 2013 elle demande un double de sa radio ………….. Auprès du secrétariat on lui a répondu, qu’un problème informatique est survenu dans leurs système! Plus de radio! de madame Sal pour faire un contrôle ultérieur. Il ne fond pas de radio, ou ils les perdent…les implants du bas on du être enlevez d’urgence en Février 2013 par sont dentiste en France dans le Luberon … Vous pouvez voir état de sa bouche. Publier avec l’autorisation de la patiente.Bonjour,Voilà c’est a cela que ça ressemble, je trouve qu’il y a une différence de couleur.
Celle du gars sont plus grise, les miennes sont plus brillantes….. joli n’est ce pas?? impressionnant!
Et celles du bas ne sachant plus les enlever, tant ça me fait mal…donc rien à vous montrer
Bien à vousSylvie
4eme Cas clinique inconnu ! toute la prothèses transvisée sur implant trinon ne sont plus dans l’os il faut tout déposer
!!! Ce patient aurait du recevoir une greffe
Lettre du chirurgien-dentiste qui à réopéré plusieurs patientes en provenance d’Espagne Dr Gochtovtt ! « chirurgie implantaire » Paris
Cher Monsieur Roland
Suite à notre conversation téléphonique et aux descriptions que vous me faites et à l’examen radiographique je vous recommande la dépose des deux implants vus sur le cliché adressé (courrier adressé chirurgien de paris le 10/02/1012.
Docteur en chirurgie dentaire DU de chirurgie implantaire et de prothèse implantologique Paris.
Voila plus de 1ans 1/2 que ces implants on été posé par cette clinique, ainsi que la pose de la prothèse (couronnes dentaires). Mes problèmes Ils sont essentiellement dus à une surcharge mécanique liée à une prothèse mal équilibrée avec effet de bascule, entraînant une lente résorption de l’os (perte d’ostéo-intégration équivalent à un déchaussement des implants c’est ce qui ce produit actuellement le 3/04/2012 pour l’implant restant.
Une pose d’implant est systématiquement précédée par un examen clinique détaillé, radiologique (et éventuellement biologique) et par des explications claires et précises.
Le praticien doit s’assurer de l’absence de contre-indications. L’option implantaire ne doit être proposée au patient que si elle est jugée meilleure que les autres options médicales.
Le recours aux implants doit tenir compte de la qualité osseuse, de l’âge, de l’état de santé… Là rien ne ma été demandé? pourquoi…
sabotage de la première opération.
nou62 8/02/2012 lettre
25/11/2009 l’opération sur 7 implants défectueux on été remplacé (Trinon biomédical) retirés sur le mâchoire de la patiente remplacés par des implants Ankylos .
Publié avec l’autorisation de la patiente victime.le 8/2/2012
Infection prononcée sur tous les implants, 2 mois après les premières gènes qui allaient engendrer des abcès. et des gênes persistantes dans mon élocution. C’est le dentiste le responsable qui ma opéré ? quand l’os n’est pas suffisant sur le devant voilà le résultat! tout cela pour gagner de l’argent rapidement quelle honte.
Je garde de graves séquelles de tout cela. Ces multiples opérations ont été réalisées par un chirurgien-dentiste de Paris au courant de cette affaire qui m’a refait avec difficulté ce travail délicat à exécuter dépose des implants, suite à l’abandon de leurs responsabilités des »docteurs » J’ai subis multiples greffes osseuses, pose de nouveau implants Ankylos, puis des des prothèses et couronnes soit quinze interventions de février 2009 à mars 2010
Ce travail est indigne de prétendus professionnels de santé! Les dentistes qui pratique ce genre de travail devraient être sanctionnés par la justice pour de tels faits aussi graves. le dentiste qui à fait cela est un homme sans conscience! une véritable mutilation pour ma femme, qui n’a plus de gencive. Ce dentiste refuse d’indemniser les victimes de ces abus.
Quel désastre pour cette patiente qui gardera des séquelles à vie… Le dossier médical de cette patiente montre bien un non respect de l’art dans la pose de ces implants dentaires de la part du dentiste associé !…des souffrances physiques et morales extrêmes et continuelles pour ma femme. Plusieurs affaires du même type chez d’autres personnes comme moi on été pratiquées avec des résultats identiques en Espagne avec ces implants TRINON MONOBLOC Ce type d’implant sont acheté à très bas prix par rapport au cour des autres implants du marché. Comme cela on fait de grosse plus valus avec toute les conséquences possibles pour les patients surtout quand ils sont mal posés.









